TECHNO CHEMICAL corp.
生化学・免疫学等の研究用試薬及び関連機器輸入販売
ポリサイエンス社製品
cat.#24243
| Gill's Hematoxylin #2, double strength for Histology & Cytology |
|
|
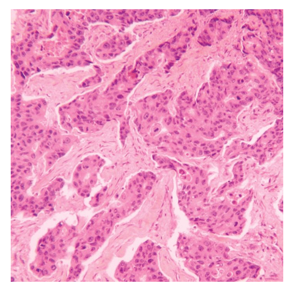
Breast tissue stained with Polysciences' Gill's Hematoxylin #2, 10X Polysciences, Inc. Gold Standard Series Hematoxylin and Eosin products offer you the highest quality for routine staining. Strict quality control for all Gold Standard Series Routine Stains ensures lot-to-lot consistency. Stains are packaged in convenient plastic recyclable containers. General purpose nuclear stain, progressive type. Used with hematoxylin and eosin staining. Our Gold Standard Series Gill's Hematoxylins are available in three strengths. Choose from Gold Standard Series Gill's Hematoxylin #1, #2, or #3 for optimal staining of your Cytology and Histology samples. Gold Standard Gill's #2 should be used when a stronger or darker nuclear stain is required for cytology samples or for immunohistochemical counterstaining. : |
| |
製品リスト
| Cat.# |
容量 |
定価 |
| 24243-500 |
500 ml |
¥13,000 |
| 24243-1000 |
1000 ml |
¥19,100 |
製品のお見積りご依頼時は、「製品コード」と「数量」を必ず明記してください。
海外輸入製品につき、製品コードおよび数量がありませんとお見積りいたしかねます。

〒113-0021 東京都文京区本駒込1-27-9
TEL 03-3947-7310 FAX 03-3947-7306
|